Real Invisalign results from real patients treated by Dr. Siju George at Wassan Dental Centre, Muscat, Oman.
All cases treated exclusively with Invisalign clear aligners by Dr. Siju George
Verified Invisalign Provider


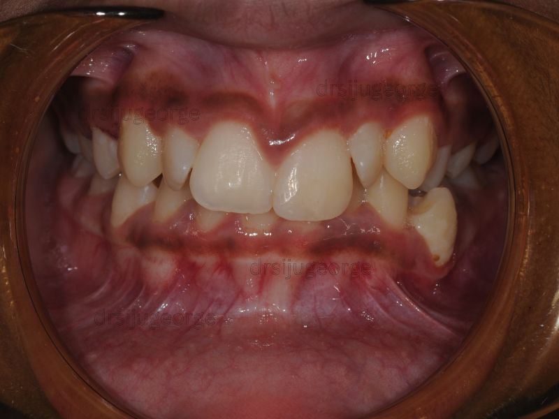
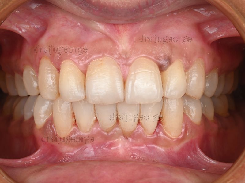
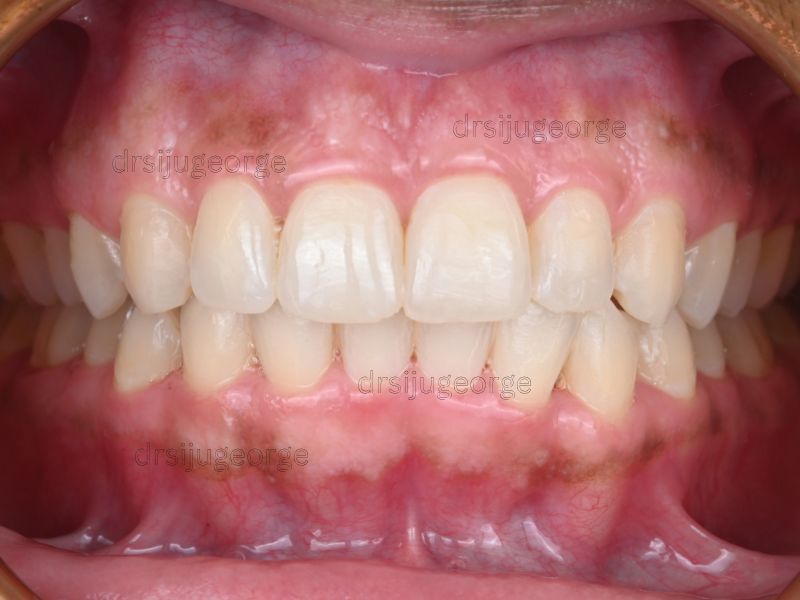
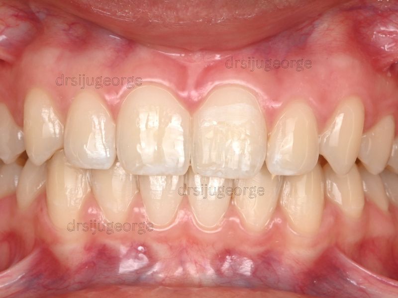
Severe Crowding — Teen
28 Months · Invisalign Teen · Wassan Dental Centre, Muscat


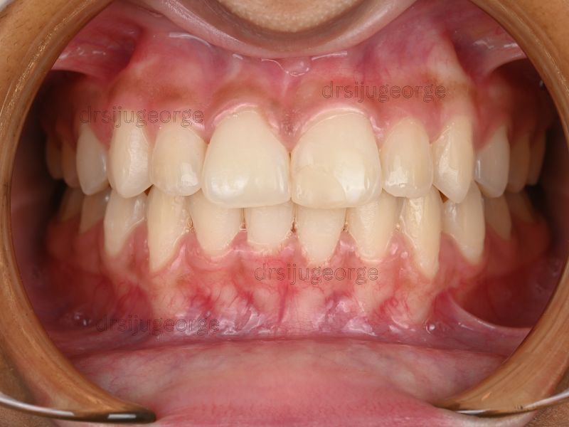
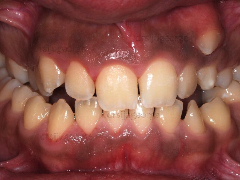
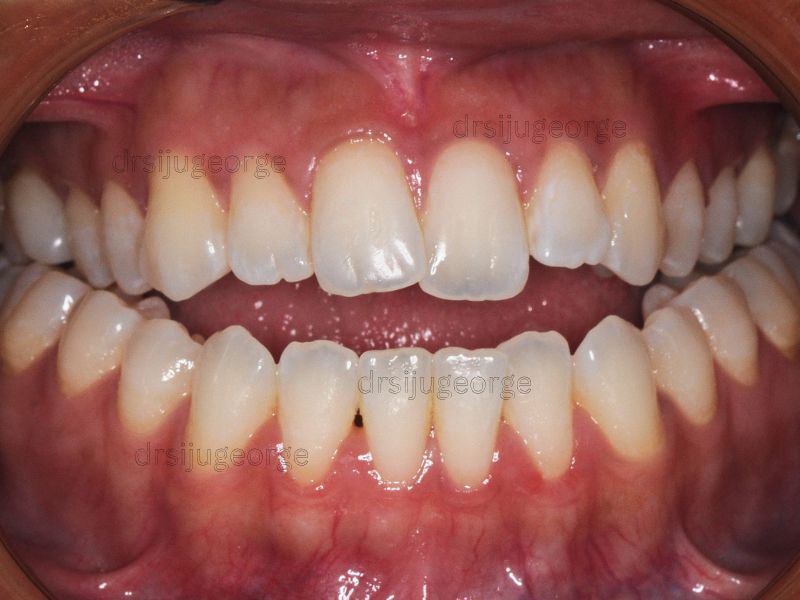
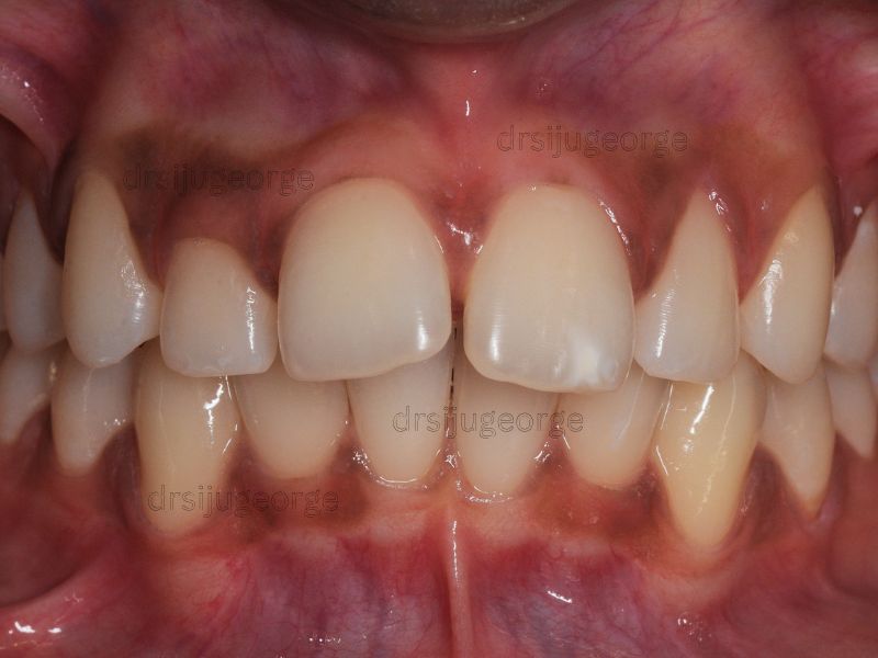
Crowding Correction — Teen
22 Months · Invisalign Teen · Wassan Dental Centre, Muscat


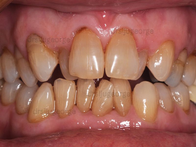
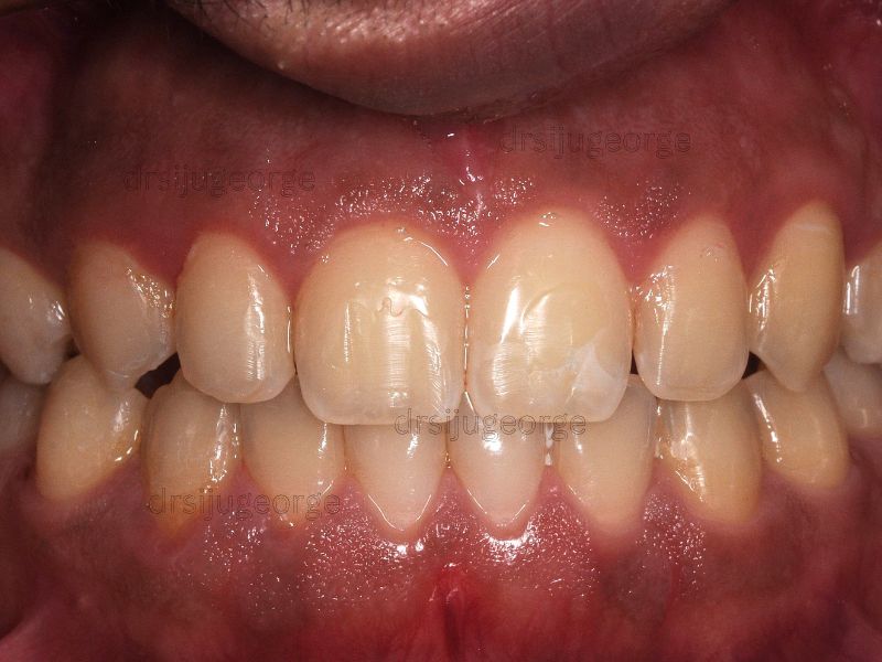
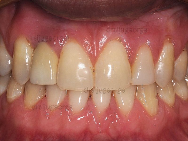
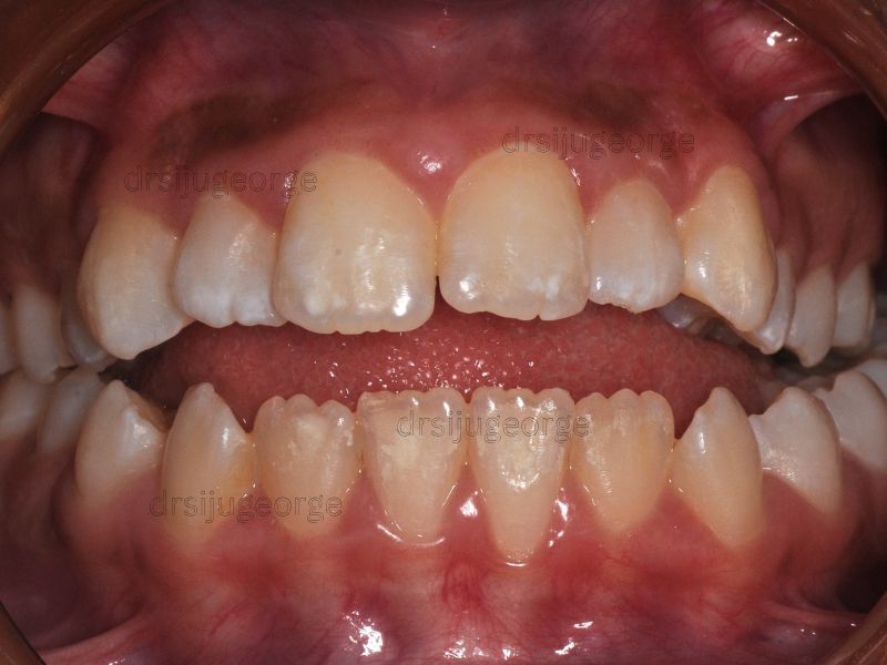
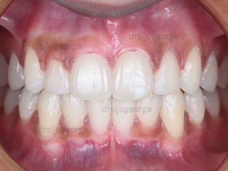
Crowding — Older Adult Patient
12 Months · Invisalign Comprehensive · Wassan Dental Centre, Muscat


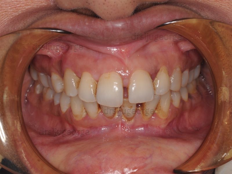
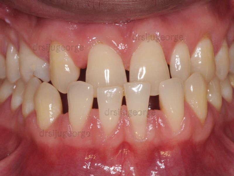
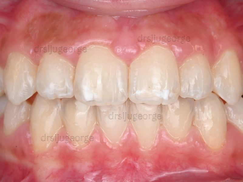
Spacing & Gap Closure — Teen
14 Months · Invisalign Teen · Wassan Dental Centre, Muscat


Spacing Correction — Adult
16 Months · Invisalign Comprehensive · Wassan Dental Centre, Muscat


Narrow Arch Expansion — Adult
18 Months · Invisalign Comprehensive · Wassan Dental Centre, Muscat


Crossbite Correction — Adult
18 Months · Invisalign Comprehensive · Wassan Dental Centre, Muscat


Complex Crossbite — Adult
18 Months · Invisalign Comprehensive · Wassan Dental Centre, Muscat


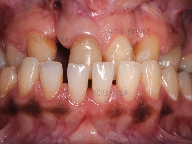
Underbite Correction — Adult
13 Months · Invisalign Comprehensive · Wassan Dental Centre, Muscat


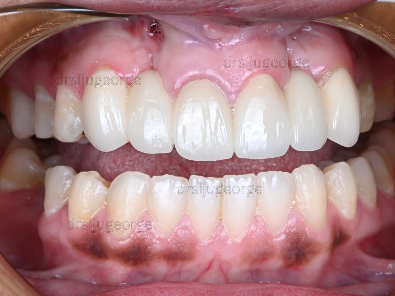
Underbite & Alignment — Adult
14 Months · Invisalign Comprehensive · Wassan Dental Centre, Muscat


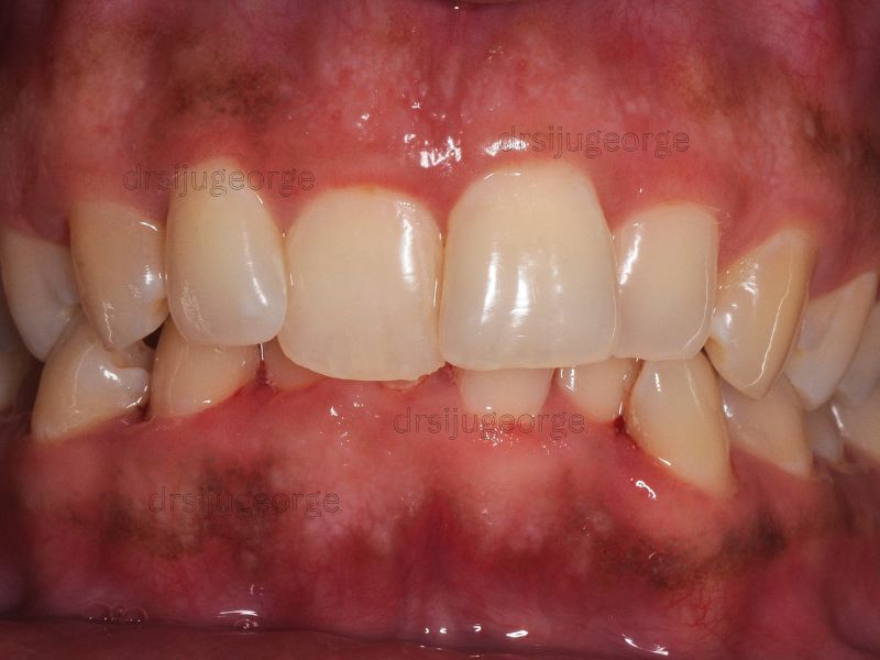
Open Bite Correction — Adult
20 Months · Invisalign Comprehensive · Wassan Dental Centre, Muscat


Open Bite Correction — Teen
19 Months · Invisalign Teen · Wassan Dental Centre, Muscat


Class II Correction — Teen
18 Months · Invisalign Teen · Wassan Dental Centre, Muscat


Class II Overjet — Teen
16 Months · Invisalign Teen · Wassan Dental Centre, Muscat


Class III Correction — Teen
20 Months · Invisalign Teen · Wassan Dental Centre, Muscat


Class III Underbite — Teen
20 Months · Invisalign Teen · Wassan Dental Centre, Muscat
Book a consultation with Dr. Siju George to find out what Invisalign can achieve for your smile. Digital scan and simulation included.