Blue Diamond Invisalign Provider · Muscat, Oman

Invisalign in Muscat
by Dr. Siju George

Blue Diamond Invisalign Provider · Top 1% Worldwide · Over 10,000 Cases Treated

20+
Years Experience
10K+
Cases Treated
Top 1%
Worldwide Provider

FEATURED IN & RECOGNISED BY

Why Patients in Muscat Choose Dr. Siju

Combining world-class expertise with the latest digital orthodontic technology to deliver outstanding smile transformations.

Expertise

As a Blue Diamond Invisalign Provider — placing Dr. Siju among the top 1% of Invisalign practitioners worldwide — you benefit from unmatched experience and clinical skill. Over 10,000 successfully treated cases speak for themselves.

Digital Technology

Treatment begins with a precise 3D digital scan of your teeth — no uncomfortable impressions. A personalised smile simulation lets you visualise your new smile before a single aligner is made.

Comprehensive Care

From initial diagnostics and custom aligner fabrication through to regular progress monitoring, refinements, and long-term retention — your full treatment journey is managed under one roof at Wassan Dental Centre.

What is Invisalign?

Invisalign uses a series of custom-made, clear removable aligners to gradually and gently move your teeth into their ideal positions — without metal brackets or wires.

Each aligner is precision-crafted from Align Technology's patented SmartTrack® material — virtually invisible when worn, comfortable against your gums and cheeks, and designed to fit your unique smile.

Advantages Over Traditional Braces

Nearly invisible
Removable for eating & brushing
Greater comfort
Fewer clinic visits
No food restrictions
Suitable for adults & teens

Who is Invisalign For?

Adults Teenagers Professionals All Lifestyles
Am I Suitable for Invisalign? Book a Consultation →
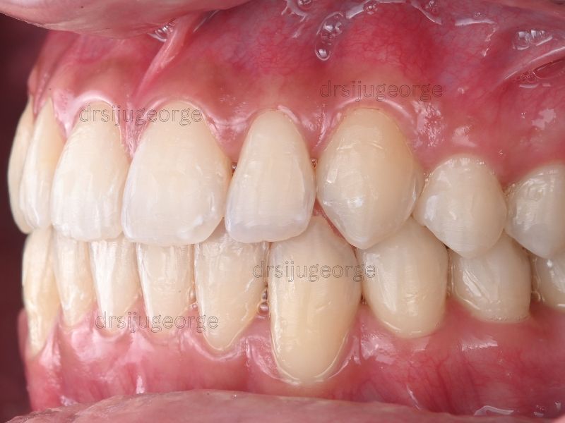
Invisalign clear aligners treatment Muscat Oman Dr. Siju George

Your Invisalign Treatment Journey

From the first digital scan to your perfect smile — here is exactly what to expect at every stage of your treatment with Dr. Siju.

1

Digital 3D Scan of Teeth

A precise, comfortable intraoral scan replaces messy impressions and captures every detail of your bite and tooth position.

2

Smile Simulation Preview

Using ClinCheck® software, Dr. Siju creates a virtual simulation so you can see your projected smile before treatment begins.

3

Consultation & Smile Assessment

A thorough orthodontic assessment reviews your bite, facial profile, and smile goals to confirm Invisalign is the right solution.

4

Customised Treatment Planning

Dr. Siju personally plans every tooth movement in precise detail, drawing on over 10,000 cases of clinical experience.

5

Manufacturing of Custom Aligners

Your personalised series of aligners is manufactured by Align Technology using advanced medical-grade material.

6

Wearing Aligners 20–22 Hours Daily

Remove only for eating, drinking (other than water), and oral hygiene. Each aligner set is worn for approximately one to two weeks.

7

Regular Progress Monitoring

Periodic check-ups with Dr. Siju ensure your teeth are tracking as planned and allow adjustments when needed.

8

Refinements if Needed

If additional fine-tuning is required to achieve perfection, refinement aligners are provided as part of your treatment.

9

Retainers to Maintain Results

Custom retainers are fitted at the end of treatment to preserve your beautiful new smile for the long term.

Learn More About the Process

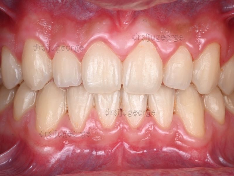
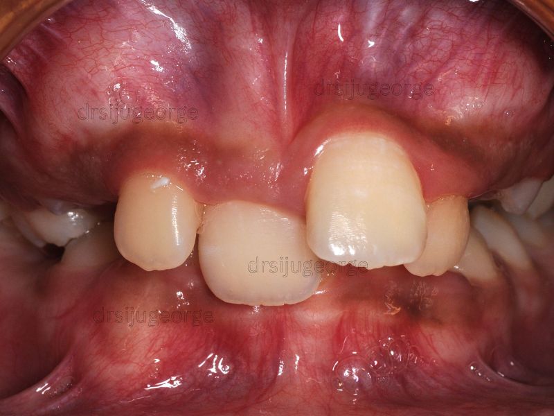
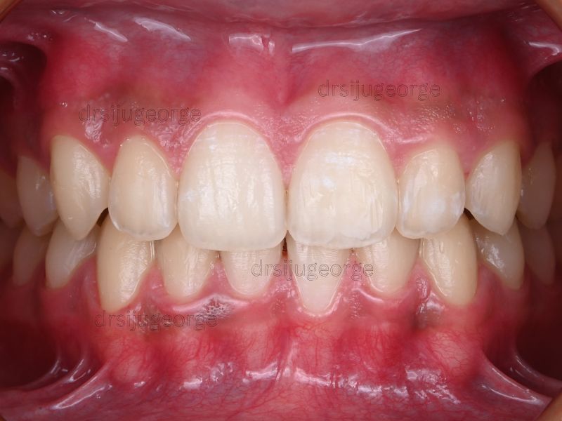
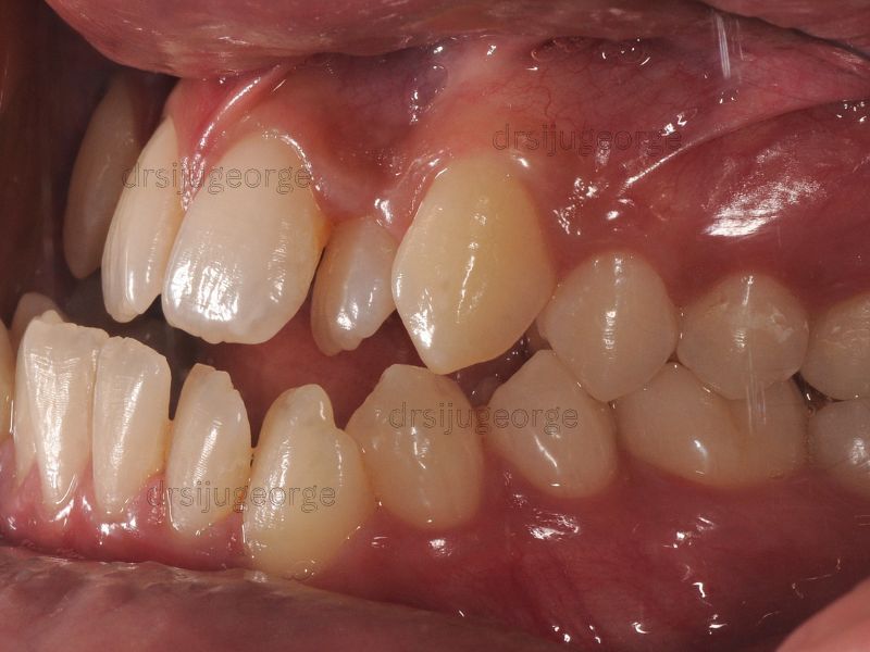
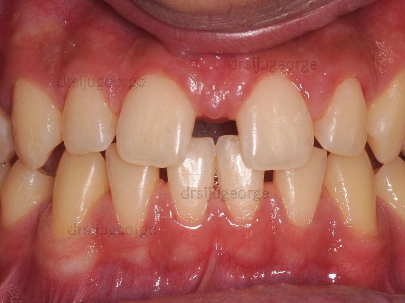
Real Results from Muscat Patients

Every smile tells a story. Browse some of the transformations achieved by Dr. Siju George at Wassan Dental Centre.

All cases treated exclusively with Invisalign clear aligners by Dr. Siju George

20+ Years Experience
Top 1% Worldwide Provider
100% Invisalign Cases
View on Invisalign

Verified Invisalign Provider

See All Cases

What Our Patients Say

Over 1,100 patients across Oman have reviewed Dr. Siju George and Wassan Dental Centre.

Google Reviews
4.9 (Based on 1,143 reviews) Read on Google
OT
Oneza & Tabish
Mother of Two Teenage Patients

As an anxious mum of 2 teenage girls who needed braces and a pain-free experience, I can vouch that Dr. Siju is a magician. Both my girls look forward to being treated by him and return home all smiles. 7 stars from me!

PL
Pranu Lal
Invisalign Patient

The results speak for themselves — my teeth are now perfectly aligned, and I feel more confident with my smile. I highly recommend Dr. Siju George to anyone considering Invisalign. Their expertise and dedication to patient satisfaction are truly top-notch.

SV
Seema Varshney
Patient for 15+ Years

My daughter has been coming to Dr. Siju for more than 15 years. He is both comforting and highly experienced. The clinic staff are kind and helpful. We have always had a very good experience.

Everything You Want to Know

Find answers to the most common questions about Invisalign treatment with Dr. Siju George in Muscat, Oman.

Invisalign is a modern orthodontic treatment that uses clear removable aligners to straighten teeth gradually. The aligners are custom-designed using digital treatment planning to move teeth step by step into their correct position.

How long does Invisalign treatment take?

Most treatments take 6 to 18 months, depending on the complexity of the orthodontic problem.

Is Invisalign painful?

Invisalign is generally more comfortable than traditional braces. Patients may feel mild pressure for a day or two when switching to a new aligner, which indicates that the teeth are moving as planned.

Can adults get Invisalign?

Yes. Invisalign is extremely popular among adult patients in Muscat because the aligners are discreet and removable, allowing patients to maintain their professional and social lifestyle during treatment.

Can Invisalign fix crowded teeth?

Yes. Invisalign is effective in treating crowded teeth. The aligners gradually create space and guide teeth into proper alignment.

Can Invisalign fix gaps between teeth?

Yes. Invisalign can close spaces and gaps between teeth, improving both appearance and dental function.

How many hours per day should Invisalign be worn?

Aligners should be worn 20–22 hours per day for optimal results. They should only be removed for eating, drinking (except water), and oral hygiene.

What happens after Invisalign treatment?

After treatment, patients wear retainers to maintain the new position of their teeth and prevent relapse.

Who is the best orthodontist in Muscat for Invisalign?

Dr. Siju George is a Blue Diamond Invisalign Provider, placing him among the top 1% of Invisalign practitioners worldwide. He treats patients at Wassan Dental Centre, one of Oman's most trusted dental clinics.
View All FAQs

Ready to Start Your Invisalign Journey?

Book a consultation with Dr. Siju George at Wassan Dental Centre, Muscat. Welcoming patients from Nizwa, Sohar, Salalah, Sur, Ibri, Duqm, and all regions of Oman.
Digital scan and smile simulation included.

Book Consultation
💬 Questions about Invisalign? We reply instantly!